Recupera Tus Encías: Método Probado Para Tratar la Retracción Gingival

Recuperando tus encias

¿Te preguntas como sanar encias retraidas y recuperar la salud bucal? La retracción de las encías es un tipo de enfermedad periodontal que comienza con la acumulación de placa entre la encía y el diente. Este problema afecta a muchas personas, de hecho, la mayoría presenta una recesión leve.

Las encias retraidas no son solo un problema estético. Sin tratamiento, esta condición puede causar sensibilidad dental al frío, a los dulces o al tacto. Además, la recesión no tratada puede resultar en la pérdida de dientes, porque no queda suficiente tejido gingival para sostener las raíces dentales. Por lo tanto, entender sus causas y tratamientos es fundamental para mantener una sonrisa saludable.

En este artículo, compartiremos información valiosa sobre qué causa esta condición, cómo identificar los síntomas tempranamente y, lo más importante, métodos efectivos para recuperar la salud de tus encías. También exploraremos por qué la enfermedad de las encías es la causa principal de esta condición y qué puedes hacer al respecto.

¿Qué causa la retracción de las encías?

Las causas de la retracción gingival son diversas y entenderlas es esencial para saber como sanar encias retraidas efectivamente. La enfermedad periodontal encabeza la lista como factor principal. Esta comienza con gingivitis, una inflamación causada por acumulación de placa bacteriana, que sin tratamiento avanza a periodontitis, destruyendo hueso y tejido.

El cepillado agresivo representa otra causa común. Utilizar cepillos de cerdas duras o técnicas incorrectas desgasta el tejido gingival con el tiempo. Asimismo, la presión excesiva durante años provoca que la encía se retraiga, exponiendo la sensible raíz del diente.

Los factores genéticos también juegan un papel importante. La investigación confirma que la genética es uno de los cinco factores principales de riesgo para desarrollar problemas periodontales. Algunas personas heredan encías más delgadas o débiles, haciéndolas más susceptibles.

Otros factores significativos incluyen:

  • Cambios hormonales durante embarazo, pubertad o menopausia
  • Consumo de tabaco, que aumenta la acumulación de placa
  • Bruxismo o rechinar de dientes
  • Medicamentos que causan sequedad bucal (antihistamínicos, antidepresivos)
  • Piercings orales y traumatismos

Identificar correctamente la causa es el primer paso para recuperar la salud de tus encías y prevenir futuros problemas.

Síntomas y diagnóstico temprano

Reconocer los primeros signos de retracción gingival es crucial para saber como sanar encias retraidas antes de que el problema empeore. Aproximadamente un 40% de la población española sufre sensibilidad dental, siendo este uno de los primeros síntomas de retracción. Esta sensibilidad se manifiesta especialmente al consumir alimentos fríos o calientes.

Otros síntomas notables incluyen:

  • Dientes que parecen más largos de lo normal, dando la impresión de estar “alargados”
  • Sangrado durante el cepillado o al usar hilo dental
  • Encías inflamadas o rojizas, diferentes al tono rosado saludable
  • Mal aliento persistente (halitosis)
  • Mayor acumulación de placa en zonas expuestas

Para diagnosticar este problema, los dentistas realizan un examen visual buscando señales de retracción y utilizan una pequeña “sonda” para medir la profundidad de las bolsas entre dientes y encías. En una boca sana, estas bolsas miden entre 1 y 3 milímetros.

Ciertamente, no debemos normalizar síntomas como el sangrado o la sensibilidad. Aunque la retracción comienza gradualmente, ignorar estos signos puede llevar a problemas más graves como infecciones, caries y, eventualmente, pérdida de dientes. Por tanto, ante cualquiera de estos síntomas, acudir al dentista es fundamental para comenzar un tratamiento temprano y efectivo.

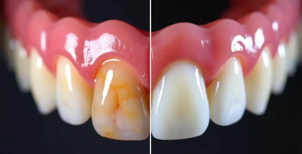
Tratamientos efectivos para recuperar tus encías

Existen diversos tratamientos para revertir la retracción gingival, según la gravedad del caso. Para la retracción leve, los dentistas generalmente recomiendan una limpieza profesional profunda, conocida como raspado y alisado radicular. Este procedimiento elimina bacterias y sarro de debajo de la línea de las encías, permitiendo que el tejido se recupere.

Para casos más avanzados, el injerto de encía ofrece resultados notables. Este procedimiento consiste en tomar tejido del paladar o de un banco de tejidos y colocarlo sobre las raíces expuestas. Los injertos no solo mejoran la estética, sino que también protegen las raíces sensibles y previenen complicaciones futuras.

Además, existen diferentes tipos de injertos según cada caso:

  • Injerto de tejido conectivo: ideal para recesiones moderadas, utilizando tejido del paladar cubierto por un colgajo
  • Injerto gingival libre: recomendado para recesiones severas
  • Técnica de pinhole: método mínimamente invasivo que no requiere suturas

En situaciones donde hay pérdida ósea significativa, el injerto óseo puede ser necesario antes de tratar la encía. Este procedimiento utiliza pequeños fragmentos de hueso para regenerar el soporte dental.

Para casos leves o como complemento a otros tratamientos, existen agentes desensibilizantes, barnices y adhesivos que reducen la sensibilidad de las raíces expuestas mientras se regenera el tejido.

El cuidado postoperatorio es fundamental para garantizar el éxito del tratamiento, incluyendo una dieta blanda, evitar el cepillado en las zonas operadas y usar enjuagues antisépticos según las indicaciones del especialista.

Conclusión

La retracción de las encías representa un problema común pero tratable cuando se aborda adecuadamente. Ahora que conocemos las diversas causas, desde la enfermedad periodontal hasta factores genéticos, podemos tomar medidas preventivas eficaces. Sin duda, reconocer síntomas tempranos como la sensibilidad dental o el sangrado durante el cepillado resulta fundamental para iniciar el tratamiento antes de que el daño sea irreversible.

Ciertamente, las opciones terapéuticas disponibles ofrecen esperanza para quienes sufren esta condición. Desde limpiezas profesionales para casos leves hasta procedimientos más avanzados como injertos de encía o técnicas de pinhole, existen alternativas para cada situación particular. Por ello, consultar con un especialista dental ante los primeros signos de retracción gingival puede marcar la diferencia entre conservar o perder piezas dentales.

Además, mantener hábitos adecuados de higiene bucal constituye la primera línea de defensa contra la retracción gingival. Esto significa cepillarse correctamente, usar hilo dental diariamente y acudir a revisiones periódicas con el dentista. También es importante usar cepillos de cerdas suaves y aplicar una presión moderada durante el cepillado.

Finalmente, recordemos que la salud bucal refleja nuestra salud general. Aunque la retracción gingival puede parecer inicialmente un problema menor, su tratamiento oportuno previene complicaciones más graves a largo plazo. Con el enfoque adecuado y atención profesional, recuperar la salud de tus encías no solo es posible, sino que mejorará significativamente tu calidad de vida y confianza al sonreír.

CALL US: (713) 795-4666 Skip to content